서 언
재료 및 방법
식물재료
배지 및 배양환경
Colchicine과 oryzalin 전처리 방법이 생존율과 염색체 배가율에 미치는 영향
Colchicine과 oryzalin 처리농도 및 기간이 생존율과 염색체 배가율에 미치는 영향
배수성 분석 및 근단세포 염색체 관찰
공변세포의 크기 및 밀도
결과 및 고찰
Colchicine과 oryzalin 전처리 방법이 생존율과 염색체 배가율에 미치는 영향
Colchicine과 oryzalin 처리농도 및 기간이 생존율과 염색체 배가율에 미치는 영향
배수성 분석 및 근단세포 염색체 관찰
공변세포의 크기 및 밀도
배수성에 따른 생육특성
서 언
심비디움은 난과식물로 심비디움속(Genus)에 속하며 열대아시아를 중심으로 북쪽은 히말라야부터 동쪽은 한국, 남쪽은 호주 북부에 걸쳐 약 70종이 자생하는 것으로 알려져 있다(Arditti, 1992). 주로 해발 500-1500m의 산지에 자생하고 일부 착생종도 있으나 대부분이 지생종이다(Coker, 1993). 심비디움은 일반적으로 분화로 사용되는데 꽃을 수확 한 후에도 수명이 길어 절화로도 이용된다(Rotor, 1952). 우리나라에서는 1970년에 양란 심비디움이 도입된 이래, 1980년대 후반 조직배양에 의한 대량생산이 가능해짐에 따라 상업적인 대량생산으로 대중화되었으며, 현재는 화훼 분화생산액의 약 30%를 차지할 정도로 주요 화훼작물로 취급되고 있다(Kim et al., 2013).
원예식물에서 배수체 육종은 식물 세포의 크기가 증가 됨으로 인해 식물체 전체의 크기 증대 및 환경저항성 등 여러 가지 특성이 강화될 수 있다는 장점이 있다. 과실의 경우 크기가 커지고 품질이 향상되며 화훼류는 꽃의 크기와 꽃잎 두께가 증가하고, 꽃의 수명이 연장되며, 향기가 증대 되는 등의 효과를 얻을 수 있다(Grisebach, 1981; Wimber et al., 1987; Ranney, 2006). 특히 난류는 다른 작물에 비해 배수체 유기가 용이하고 배수성의 특징이 꽃과 식물체 전체에 나타나기 때문에 배수성을 육종 프로그램에 실용적으로 이용한다(Yoon and Jeong, 2011). 인위적 배수체 유도에 가장 보편적으로 이용되는 colchicine을 이용하여 염색체 배수화에 성공한 난과식물로는 심비디움(Menninger, 1963; Wimber and Van Cott, 1966; Kim et al., 1998, 2003, 2006), 덴드로비움(Nakasone and Kamemoto, 1961; Nakasone, 1962; Sanguthai et al., 1973; Sarathum et al., 2010; Atichar, 2013), 카틀레야(Silva et al., 2000), 반다(Nakasone and Kamemoto, 1961; Nakasone, 1962; Sanguthai and Sagawa, 1973), 팔레놉시스(Griesbach, 1981, 1985), 파피오페딜럼(Wimber et al., 1987; Watrous and Wimber, 1988), 새우란(Tahara and Kato, 1987; Chung et al., 2014), 해오라비난초(Tahara and Kato, 1987), 수녀란(Li et al., 2013), 여우꼬리난(Kerdsuwan and Te-chato, 2012) 등이 보고되어있다. 그러나 colchicine은 인체에 매우 해로운 유독성 물질임에도 불구하고 고농도로 사용해야 한다는 단점이 있다. 이러한 colchicine의 대체물질로는 oryzalin, trifluralin, amiprophos-methyl, NO gas, phosphoric amide, caffeine 등이 있는데, 그 중 제초제의 원료로 사용되는 oryzalin은 colchicine에 비해 식물체와 인체에 미치는 독성이 적고, 세포분열 중기에 튜불린과 강하게 결합하므로 colchicine에 비해 약 1/100의 저농도로 사용 가능하다는 장점이 있다(Morejohn et al., 1987; Ramulu et al., 1991). Oryzalin을 이용한 난과식물의 배수화는 새우란(Chung et al., 2014), 덴드로비움, 에피덴드룸, 팔레놉시스, 오돈티오다(Miguel et al., 2011) 등이 있으나 심비디움에 관한 연구는 미흡한 실정이다.
따라서 본 연구에서는 우리나라 주요 난과식물 중 하나인 심비디움의 배수체 육종을 위한 기초자료를 얻고자 기내 배양중인 심비디움의 protocorm like bodies(PLBs)에 colchicine과 oryzalin을 처리방법과 농도, 기간을 다양하게 처리하여 배수체 유도에 효율적인 최적의 조건을 구명하고자 하였다.
재료 및 방법
식물재료
식물재료는 국립원예특작과학원 온실에서 재배하고 있는 Cymbidium Showgirl ‘Silky’와 Cymbidium Mystery Island ‘Silk Road’(Silk Road-4)를 사용하였다(Figs. 1A and 1B). C. Showgirl ‘Silky’(C. Sweetheart × C. Alexanderi)(이하 ‘Silky’라고 명함.)는 백색의 꽃이 피는 중륜계 품종으로 3배체이며 배수체 육종을 통해 꽃잎의 두께가 두꺼워지면 화색이 진해지고 개화기간이 연장되는 효과가 있어 절화로서의 이용 가치가 증가한다. C. Mystery Island ‘Silk Road’(Silk Road-4)(이하 ‘Silk Road-4’라고 명함)는 C. Mystery Island ‘Silk Road’를 자식(selfing)한 실생계통으로 향기가 있는 연분홍색 꽃이 피는 소륜계 3배체이며 배수체 육종을 통해 보다 강한 향기의 꽃을 기대할 수 있다. 이 두 가지 hybrid를 생장점 배양하여 PLBs를 유기 및 증식하고 계대배양 후 1개월 정도 된 PLB 덩어리를 약 6mm의 크기로 나누어 실험재료로 사용하였다(Figs. 1C, 1D, and 1E).
|
Fig. 1. The flowers and multiplication of PLBs of Cymbidium Showgirl ‘Silky’ (A, C) and C. Mystery Island ‘Silk Road’ (Silk Road-4) (B, D), and the PLBs used in this experiment (E). Bar = 10 mm. |
배지 및 배양환경
Colchicine과 oryzalin 처리에 사용한 배지는 Hyponex (6.5-6-19) 3g・L-1, peptone(SIGMA, P7296) 4g・L-1, sucrose 30g・L-1, pH 5.2의 액체배지를 사용하였고 100mL 삼각플라스크에 40mL씩 분주하여 고압 멸균하였다. Colchicine은 dimethyl sulfoxide(DMSO)에, oryzalin은 ethanol에 각각 녹인 후 0.2µm membrane filter로 여과살균 한 다음 멸균한 배지에 첨가하였다. 처리구 당 PLBs 수는 30개씩 하였고, 25 ± 1°C에서 80rpm으로 진탕배양 하였다. 처리 후 멸균수로 3회 세척하여 charcoal 1g・L-1과 agar 7.7g・L-1을 첨가한 Hyponex 고체배지에 병당 15개씩 치상하였고, 배양조건은 주간 13시간, 26μmol m-2・s-1 및 온도를 25 ± 1°C로 하였다.
Colchicine과 oryzalin 전처리 방법이 생존율과 염색체 배가율에 미치는 영향
심비디움 염색체 배가 효율증진에 가장 적합한 전처리 방법을 찾고자 1) 전처리 없이 PLBs를 colchicine과 oryzalin에 처리 한 방법(M1), 2) PLBs를 끝이 뾰족한 핀셋으로 약 2mm 깊이로 10회씩 찔러 상처를 낸 다음 처리한 방법(M2), 3) 처리 3일 전 PLBs를 Hyponex 고체배지에 pre-culture한 후 끝이 뾰족한 핀셋으로 10회씩 찔러 상처를 내고 처리한 방법(M3)으로 처리 방법을 달리하였다. 본 실험에 사용한 심비디움 품종은 ‘Silky’로 이때 colchicine 농도는 0, 50, 100, 500mg・L-1, oryzalin 처리 농도는 0, 5, 10, 30mg・L-1로 하였고, 처리기간은 모두 1주로 동일하게 하였다. 대조구는 colchicine과 oryzalin을 첨가하지 않은 무처리를 이용하였다.
Colchicine과 oryzalin 처리농도 및 기간이 생존율과 염색체 배가율에 미치는 영향
Colchicine과 oryzalin의 처리농도 및 기간이 생존율과 염색체 배가율에 미치는 영향을 알아보고 심비디움 염색체 배가에 가장 적합한 처리농도와 기간을 알아보기 위해 ‘Silky’와 ‘Silk Road-4’의 PLBs에 전처리 방법 중 가장 효율이 높게 나타난 방법(M2)을 적용하여 colchicine은 50, 100, 300, 500mg・L-1의 농도로 1, 2, 3주간 처리하고, oryzalin은 3, 5, 10, 20mg・L-1의 농도로 1, 2, 3주 또는 3, 6, 9일간 처리하였다. Oryzalin은 예비실험에서 높은 생존율을 보인(자료 미제시) ‘Silky’는 1, 2, 3주로 처리하고, 비교적 생존율이 낮게 나타난 ‘Silk Road-4’는 3, 6, 9일로 기간을 다르게 하여 처리하였다.
배수성 분석 및 근단세포 염색체 관찰
기내 PLB에서 분화한 유묘의 어린 잎을 약 5-10mm2크기로 채취하여 0.5mL의 nucle extraction buffer(CyStain, Partec, Germany)와 함께 예리한 칼날로 잘게 조각 내 현탁 시료 용액을 만든 후 30μm 필터가 부착된 튜브(cell trick)에 여과하여 2mL의 staining buffer(CyStain, Partec)로 염색한 후 flow cytometry(CyFlow® Ploidy Analyzer, Partec, Germany)를 이용하여 DNA 함량을 조사하였다. 이로부터 배수성이 확인된 식물체의 신선한 근단을 Tanaka와 Kamemoto(1984), 그리고 Genfa 등(2006)의 방법에 따라 전처리 한 후 광학현미경(Carl ZelssJena GmbH, DE, Axloskop 2, Germany)으로 관찰하고 현미경용 디지털카메라(Carl Zelss, AxioCam MRc 5, Germany)와 촬영소프트웨어(Axio VisionRel. 4.8)를 이용하여 촬영한 후 염색체수를 조사하였다.
공변세포의 크기 및 밀도
3배체(대조구)와 6배체를 각 7주씩 선정하여 잎을 약 2cm 길이로 잘라 잎 뒷면의 표피를 얇게 벗겨 공변세포의 크기와 밀도를 조사하였다. 공변세포의 크기는 400배율의 현미경 하에서 식물체당 무작위로 10개씩 선정하여 측정하였고, 단위면적(250μm2) 당 공변세포의 밀도를 조사하였다. 통계분석 및 유의성 검정은 SAS 프로그램(SAS 9.1, SAS institute Inc., USA) Duncan의 다중검정으로 유의성 α = 0.05 수준에서 분석하였다.
결과 및 고찰
Colchicine과 oryzalin 전처리 방법이 생존율과 염색체 배가율에 미치는 영향
Colchicine과 oryzalin을 처리하기 전 ‘Silky’의 PLBs에 세가지 강도의 전처리(M1-3)를 한 결과 colchicine의 경우, M1과 M2에서 모든 처리농도에서 90% 이상으로 생존율이 높게 나타난 반면 M3에서는 colchicine을 100, 500mg・L-1 농도로 처리했을 때 각각 40, 20%로 비교적 낮은 생존율을 보였다. 염색체 배가 효율(생존율 × 6배체 발생비율/100)은 M2에서 50-500mg・L-1 농도로 처리했을 때 53.3-60%로 전반적으로 높게 나타난 반면, M1는 500mg・L-1 농도에서 30%, M3는 50-500mg・L-1 농도에서 3.3-6.7%로 M2에 비해 낮게 나타났다(Table 1).
한편 oryzalin은, M1에서는 모든 처리농도에서 80%이상으로 생존율이 높게 나타났지만, M2와 M3에서는 30mg・L-1 농도에서 각각 36.7, 30%로 비교적 낮은 생존율을 보였다. 염색체 배가효율은 M2에서 5, 10mg・L-1 농도로 처리했을 때 각각 36.7, 40%로 높았고 M1에서는 13.3-16.7%, M3에서는 3.3-6.7%로 비교적 낮게 나타났다(Table 2).
전반적으로 colchicine과 oryzalin처리 모두에서 M2 방법으로 전처리했을 때 배수화 효율이 비교적 높게 나타났다. M3 방법이 M2에 비해 효율이 낮은 이유는 pre-culture로 인한 PLBs 조직의 상처가 회복되지 않은 상태에서 핀셋으로 처리까지 하여 과도한 조직의 파괴와 스트레스가 원인인 것으로 판단되었다. 따라서 M2의 핀셋으로 찌르는 전처리는 PLBs의 생존율에도 안정적이고 colchicine과 oryzalin의 흡수와 세포의 분열을 도와 배가율을 높이는 효율적인 방법이라 판단되었다.
Colchicine과 oryzalin 처리농도 및 기간이 생존율과 염색체 배가율에 미치는 영향
심비디움의 체세포 염색체 배수화를 위해 ‘Silky’와 ‘Silk Road-4’ 두 종류의 3배체 심비디움 PLBs에 colchicine을 농도 및 기간을 다르게 처리한 결과, 두 품종 모두 대체적으로 처리기간이 길고 처리농도가 높아질수록 생존율이 감소하는 경향을 보였다(Tables 3 and 4). 6배체 획득효율(생존율 × 6배체 발생비율/100)은 ‘Silky’에서 50mg・L-1 농도로 1주간 처리했을 때 60%, ‘Silk Road-4’에서 50mg・L-1의 농도로 1주간 처리했을 때 16.7%로 가장 높게 나타났다. 또한 3x + 6x mixoploid는 ‘Silky’에서 300mg・L-1 농도로 1주간 처리 시 10.7%, ‘Silk Road-4’에서 50mg・L-1의 농도로 1주간 처리 시 6.9%로 발생비율이 가장 높게 나타났다. 6x + 12x mixoploid의 발생은 ‘Silky’에서 500mg・L-1로 3주간 처리 시 21.1%, ‘Silk Road-4’에서 300mg・L-1로 1주간 처리 시 17.6%로 가장 높게 나타났다. 기타 ploidy chimera는 ‘Silky’에서 500mg・L-1로 1주간 처리 시 22.2%, ‘Silk Road-4’에서 300 mg・L-1에서 3주간 처리 시 25%로 가장 높은 발생비율을 보였다(Tables 3 and 4). 이와 같은 결과로 미루어 농도 및 기간에 따른 배수체 및 mixoploid의 발생은 뚜렷한 경향을 보이지는 않았으나 고도의 배수화 또는 ploidy chimera는 상대적으로 고농도 또는 장기간 처리 시 높은 비율로 나타나는 것을 알 수 있었다. 그 밖에도 ‘Silk Road-4’에서는 고농도(500mg・L-1)로 처리 시 69.2-100%의 PLB가 식물체로 재분화 하지 못하였다(Table 4).
한편 oryzalin 처리결과, ‘Silky’와 ‘Silk Road-4’ 모두 처리농도보다는 처리 시간이 길어질 수록 생존율이 감소하는 경향을 보였다(Tables 5 and 6). 6배체 획득효율은 ‘Silky’에서 5mg・L-1의 농도로 2주간 처리 시 46.7%, ‘Silk Road-4’에서 10mg・L-1의 농도로 3일간 처리했을 때 6.7%로 가장 높게 나타났다. 또한 3x + 6x mixoploid는 ‘Silky’에서 10mg・L-1 농도로 2주간 처리 시 8.3%, ‘Silk Road-4’에서 3mg・L-1의 농도로 6일간 처리 시 4%로 발생비율이 가장 높게 나타났다. 6x + 12x mixoploid는 ‘Silky’에서 20mg・L-1로 3주간 처리 시 37.5%, ‘Silk Road-4’에서 20mg・L-1로 9일간 처리 시 50%로 발생비율이 가장 높게 나타났으며, 기타 ploidy chimera는 ‘Silky’에서 10mg・L-1로 3주간 처리 시 12.5%, ‘Silk Road-4’에서 10mg・L-1에서 3일간 처리 시 19%로 발생비율이 가장 높게 나타났다(Tables 5 and 6). Colchicine과 마찬가지로 농도와 기간에 따른 배수체 및 mixoploid의 발생비율은 뚜렷한 경향이 나타나지 않았으나 고도의 배수화는 상대적으로 고농도 또는 장기간 처리 시 높은 비율로 나타나는 것을 알 수 있었다. 또한 ‘Silk Road-4’에서 20mg・L-1로 9일간 처리했을 때 50%의 PLBs가 식물체로 발달하지 못하여 colchicine처리에서와 마찬가지로 고농도(20mg・L-1)처리했을 때 정상적인 발달을 저해하는 것으로 판단되었다(Table 6).
본 실험에서 사용한 두 종류의 hybrid는 같은 심비디움속임에도 생존율과 배수화 효율 면에서 큰 차이를 보였는데 이러한 현상은 처리물질에 대한 감응 정도가 작물 또는 품종에 따라 다르기 때문인 것으로 생각되었다(Chung et al., 2004). 동양계 심비디움의 rhizome에 colchicine을 처리한 보고에 따르면 100mg・L-1 농도에서 3주간(Kim et al., 1998), 또는 500mg・L-1 농도에서 1주간(Kim et al., 2003, 2006) 처리 시 배수화 효율이 가장 높게 나타났는데 본 실험에서는 ‘Silky’와 ‘Silk Road-4’에서 모두 50mg・L-1 농도로 1주간 처리 시 가장 높은 배수화 효율을 보여 같은 심비디움속에서도 품종과 재료, 처리방법에 따라 적정 농도 및 기간에 차이가 있는 것으로 여겨졌다. 한편 Miguel과 Leonhardt(2011)의 보고에서는 심비디움과 덴드로비움, 에피덴드럼, 오돈티오다, 팔레놉시스의 PLBs 또는 protocorm에 oryzalin을 5, 10, 20mg・L-1 농도로 3, 6일간 처리하였을 때 심비디움을 제외한 모든 식물에서 배수체가 발생하였는데 심비디움은 높은 생존율을 보여 보다 높은 농도의 처리가 필요하다고 하였다. 그러나 본 실험에서는 ‘Silk Road-4’에 동일한 농도와 시간으로 처리한 결과 효율은 낮았지만 배수체가 발생하였는데 이는 처리방법과 품종의 차이 때문인 것으로 생각되었다.
이상의 결과를 종합해 보았을 때 심비디움의 체세포 염색체 배수화를 위한 적합한 농도와 기간은 colchicine은 50mg・L-1 농도로 1주간 처리 했을 때, oryzalin은 5mg・L-1 농도로 2주간, 또는 10mg・L-1의 농도로 3일간 처리했을 때인 것으로 판단되었다.
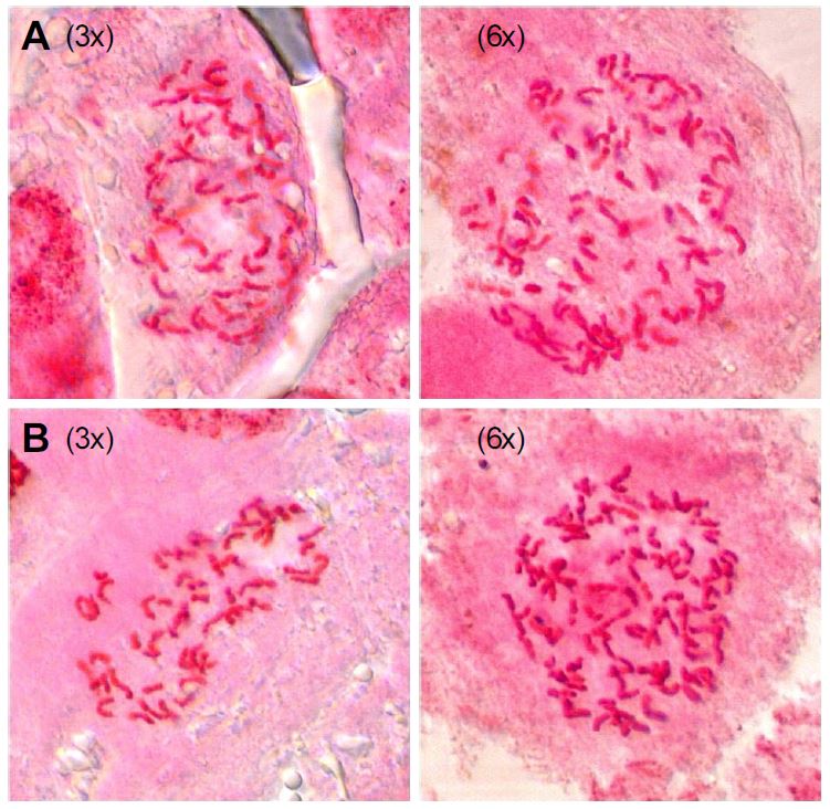
배수성 분석 및 근단세포 염색체 관찰
Colchicine과 oryzalin 처리로 얻은 식물을 flow cytometry를 이용하여 상대적 DNA 함량을 분석 한 결과, 염색체가 배가되지 않은 3배체(Fig. 2A)와 두 배로 배가된 6배체(Fig. 2B)를 확인할 수 있었다. 하지만 그 밖에도 3x + 6x(Fig. 2C)와 6x + 12x 형태의 mixoploid와 배수성을 알 수 없는 기타 ploidy chimera(Fig. 2D)가 나타났는데 이러한 현상은 약제 처리를 받은 분열조직의 분열과정에서 야기되는 것으로 각 세포의 발달 단계의 차이 때문에 나타난 것으로 추측된다(Chung et al., 2004). Mixoploid는 colchicine 또는 oryzalin을 처리한 많은 작물에서 발견되었으며 생장과정에서 변화를 일으키는 것으로 알려져 있는데 진달래속(Vainola, 2000)과 동자꽃(Nakano et al., 2012)의 결과에 따르면 2x + 4x mixoploid 였던 일부 개체가 2배체나 4배체로 굳어졌다는 보고가 있어 본 실험에서도 추가적인 배수성 검정이 필요할 것으로 판단되었다.
|
Fig. 2. Flow cytometric DNA histograms of 3x (A), 6x (B), 3x + 6x (C), and ploidy chimera (D) in Cymbidium hybrids. |
배수성이 확인된 3배체(대조구)와 6배체의 근단세포 염색체를 관찰해본 결과 ‘Silky’(Fig. 3A)와 ‘Silk Road-4’(Fig. 3B) 모두 대조구의 염색체 수가 60개로 나타났고 6배체는 염색체의 수가 많아 정확한 계수가 어려웠으나 약 두 배 가량 늘어난 것을 확인할 수 있었다(Fig. 3).
공변세포의 크기 및 밀도
대조구와 배수체간 공변세포의 크기와 밀도를 비교하였다. 그 결과 6배체는 3배체에 비해 길이와 폭이 모두 증가하였고 밀도는 감소하는 것으로 나타났다(Tables 7, 9 and Fig. 4). 카틀레야(Silva et al., 2000)와 수녀란(Li et al., 2013)에서는 4배체의 공변세포가 2배체에 비해 크기는 증가한 반면 밀도는 감소하여 본 실험과 일치하였다. 그러나 Kim et al. (1998)의 보고에 따르면 심비디움 4배체는 2배체에 비해 공변세포의 수는 늘어나지만 크기에는 변화가 거의 없게 나타나 본 실험결과와는 다소 차이가 있었다. 따라서 배수체, 품종 또는 생육환경에 대한 반응에 있어서도 추가적인 연구가 필요하다고 생각되었다.
|
Fig. 4. Guard cells of Cymbidium Showgirl ‘Silky’ (A), C. Mystery Island ‘Silk Road’ (Silk Road-4) (B). Triploid (left) and colchicine-induced hexaploid (right). 400× magnification. Bars = 40 μm. |
배수성에 따른 생육특성
배수화 처리를 통해 얻은 심비디움 배수체는 형태적으로 colchicine과 oryzalin에 따른 차이 없이 비슷한 생육을 보였는데 6배체는 3배체와 비교했을 때 잎의 길이는 짧고 폭이 넓었고 잎 두께는 더 두꺼웠으며 엽색도 3배체에 비해 더 진한 녹색을 보였다(Fig. 5). 동자꽃(Nakano et al., 2012), 수녀란(Li et al., 2013), 새우란(Chung, 2014)에서 4배체는 본 실험의 6배체의 생육형태와 유사하게 나타난 것으로 보고된 바 있다. 본 실험에서 6배체는 3배체에 비해 생장속도가 매우 더디게 나타났는데 이는 DNA 복제 및 염색체 배가에 많은 에너지와 시간을 필요로 하기 때문에 배수성 세포의 분열 속도를 느리게 하여 식물체의 성장이 지연된 것으로 생각되었다(Wu et al., 2011). 또한 기타 ploidy chimera와 6x + 12x mixoploid, 그리고 6배체의 일부에서는 잎이 뒤틀리고 마디마다 뿌리가 발생하기도하며 유묘 상태에서 측아가 성장하면서 본 식물체는 퇴화하는 등의 비정상적인 생육이 발견되었는데 이와 같은 배수체의 왜소화 및 기형화의 원인은 극도의 유전자 중복 및 체세포 불안정으로 chimera 조직을 형성하기 때문인 것으로 생각되었다(Wu et al., 2011). 콜히친과 오리잘린 처리를 통해 얻은 배수체는 앞으로 온실에서 순화하여 생장을 지속적으로 모니터링 할 예정이다.
|
Fig. 5. Growth form at 10 months treated with colchicine after of Cymbidium Showgirl ‘Silky’ (A) and C. Mystery Island ‘Silk Road’ (Silk Road-4) (B). |
진달래속(Vainola, 2000), 산앵도나무속(Tsuda et al., 2012), 새우란(Chung, 2014) 등에서는 oryzalin이 colchicine에 비해 배수체유도에 효과적으로 작용하였고 밀(Hassawi and Geroge, 1991), 거베라(Tosca et al., 1995), 닝보금귤(Yahata et al., 2004)에서는 colchicine이 oryzalin에 비해 효과적으로 작용하여 작물종에 따라 배수체 유도에 적합한 약제는 다르게 보고되어왔다. 본 연구에서 oryzalin은 colchicine에 비해 배수체 유도효율은 낮지만 1/10-1/5의 저농도에서 배수체 유도가 효율적으로 나타나 비용이 적게 들고 인체에 대한 유해성이 낮아 사용이 간편한 장점을 가지고 있었으나, 품종에 따른 적정 처리 시간의 차이가 심한 것으로 나타나 oryzalin 처리방법에 대한 다양한 연구에 필요할 것으로 생각되었다. 한편 colchicine은 적정 처리농도 및 기간 면에서 품종간 차이를 보이지 않았으며 oryzalin 처리에 비해 생존율이 높고 배수체 유도효율이 약 1.3~2.5배 높게 나타나 oryzalin보다 우수한 것으로 나타났다.
본 실험의 결과를 종합해 볼 때, 심비디움 PLBs를 핀셋으로 찌르는 전처리를 통해 배수체 유도효율을 높일 수 있는 것으로 나타났으며 colchicine과 oryzalin은 심비디움 배수체 육종에 사용될 수 있으나 배수체 유도효율을 고려할 때 colchicine의 사용이 보다 효율적인 것으로 판단되었다. 또한 본 실험에서는 3배체를 이용하였으나 2배체를 이용한 추가 연구와 품종을 다양하게 확대하여 연구할 필요가 있을 것으로 생각된다.







