서 언
재료 및 방법
시험재료
광학현미경 검경
과실품질 분석
통계분석
결과 및 고찰
‘한아름’의 GA 처리에 따른 과실 발달 및 과경부 관찰
‘한아름’의 GA 처리에 따른 생육기별 과실 품질
서 언
‘한아름’(Pyrus pyrifolia Nakai)은 2001년에 국립원예특작과학원에서 ‘신고’에 ‘추황배’를 교배하여 육성한 조생종으로, 국내 주요 조생종인 ‘원황’에 비해서 숙기가 15일 정도 빠르며, 숙기가 비슷한 조생종인 ‘신수’보다는 277g, ‘행수’보다는 186g 정도 큰 것으로 보고되어 중생종에 편중된 불균형을 다소 해소할 수 있을 것으로 기대되는 품종이다(Hwang et al., 2005). 그러나 상온 저장력이 10일 정도로 수확 후 품질저하가 빠르며(Kim et al., 2002), 대과를 선호하는 경향에 따라 기초적인 재배 기술이 확립되지 않은 상태에서 지베렐린(gibberellin, GA) 계통의 식물생장조절제를 처리하고 있는 실정이다.
배 과실에서 과실 발육과 GA는 밀접한 관계가 있다. 농업적으로 이용하는 GA는 GA3, GA4, GA7의 3종류가 있으며 그 중 GA4와 GA7은 과실비대와 숙기촉진에 쓰이고 있다(Kim, 1997). 특히 조생종 품종을 시설재배하여 단경기 출하를 목표로 할 경우 GA 도포제를 이용하면 과실비대와 숙기단축이 가능하며(Kim, 1997), 우리나라에서는 그 동안 배 과실에서 대과를 생산하는 성향에 따라 과실의 생육 초기에 식물생장조절제인 GA 처리를 하여 20-25일 정도의 숙기 촉진과 함께 대과 생산을 하고자 하였으나(Choi, 2004; Youn et al., 2000), 이러한 GA 계통의 식물생장조절제 사용으로 수확 후에는 과실의 경도가 낮아지고 부패과, 밀병 및 분질화 등의 역효과가 나타나며 보구력이 크게 떨어져 저장성이 저하되는 등의 단점이 보고되었다(Choi, 2004). 따라서 ‘한아름’과 같이 크기가 작고 숙기가 빠른 조생종에서 GA를 처리하더라도 품종의 특성을 정확히 알고 처리하는 것이 필요하다.
따라서 본 연구는 고품질 조생종으로 육성된 신품종 ‘한아름’의 GA 처리로 인한 과실 구조 발달 및 과실 품질 차이를 구명하고자 수행하였다.
재료 및 방법
시험재료
농촌진흥청 국립원예특작과학원 과수과 배 유전자원포장(경기도 화성시 봉담읍 수영리)에 재식된 5년생 ‘한아름’(Pyrus pyrifolia Nakai) 나무에서 만개기부터 수확기까지 과실을 채취하여 생육시기별 해부학적 구조와 과실품질을 조사하였다. 동시에 GA 처리에 따른 과실과 과경의 구조를 해부학적으로 관찰하기 위해 만개 후 30일에 GA paste(GA4+7 25%, 장유산업)를 과경부에 도포하였다.
광학현미경 검경
시료의 제작은 Park(1995)의 방법을 이용하여 생육기별로 과실의 적도 부위에서 절편을 채취한 후 5ml Vial에 넣어 2.5% glutaraldehyde와 1% osmic acid 용액을 이용한 이중고정방법을 사용하였다. 고정된 시료는 40%, 60%, 80%, 90%, 95%, 100% ethanol을 이용하여 탈수한 이후, ethanol과 propylene oxide를 1:1의 비율로 섞은 용액에 15분간 시료를 침지시키고 propylene oxide로 유리화하였다. 그 뒤 propylene oxide와 epon을 2:1과 1:1로 섞은 용액에 각각 1시간 동안 처리한 뒤 순수한 epon에서 하룻밤 동안 보관하고, 다음날 silicon mold에 epon에 DMP-30[2,4,6,-Tri(Dimethylaminoethyl)phenol]을 섞은 것에 시료를 넣어 60°C의 oven에서 4일간 경화시켰다. 완성된 epon block은 단면도로 treaming 작업을 거쳐 초미세절단기(Powertome X, RMC, USA)에서 1,500nm의 두께로 절단하여 PAS(periodic acid Schiff) 방법으로 염색한 후 광학현미경(Olympus SZX10, Japan)으로 관찰하였다.
과실품질 분석
생육기간 동안의 과실품질 변화를 알아보기 위해 시기별로 3개씩 수확한 과실의 종경과 횡경을 vernier calipers(Mitutoyo Corp., CD-15CP, Japan)를 이용하여 측정하였으며 경도는 texture analyzer(Stable micro systems, TA_XT express, UK)를 이용하여 조사하였다. 과실의 품질은 디지털 당도계(Suntex Corp., SP-2000, Japan)를 이용하여 가용성 고형물 함량을 측정하였으며 pH meter(Suntex Corp., SP-2200, Japan)를 이용하여 0.1N NaOH로 적정산도를 측정하였다.
통계분석
수집된 데이터들의 통계처리는 PASW Statistics 18(SPSS Inc., USA) 프로그램을 이용하여 Duncan 다중검정(P = 0.05)과 T-검정(P = 0.05, 0.01)을 실시하여 유의성을 분석하였다.
결과 및 고찰
‘한아름’의 GA 처리에 따른 과실 발달 및 과경부 관찰
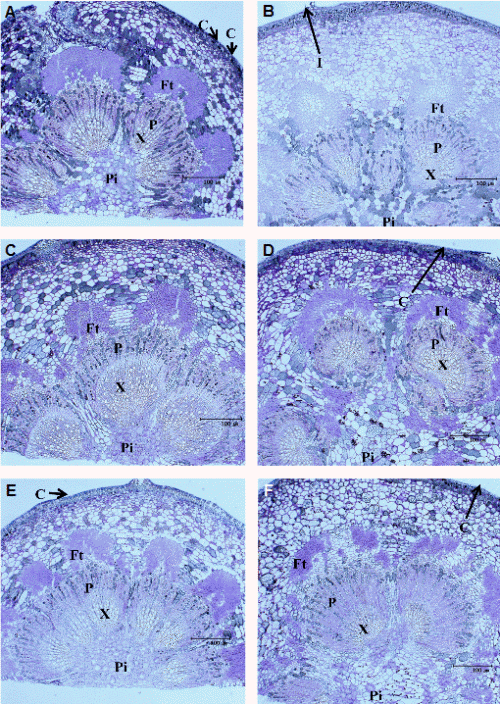
‘한아름’의 기본적인 만개기의 과실 구조는 가장 바깥쪽으로부터 외표피층, 아표피층, 유조직층, 내표피층으로 구성되어 있었으며, 과실 내의 유관속 조직은 Esau(1977)의 구분과 같이 아표피층에서 유조직층까지 바깥쪽으로부터 주변유관속, 악편유관속, 화판유관속, 측부심피유관속, 중앙심피유관속 등 5종류가 관찰되었다(Fig. 1A). 그러나 만개기의 과실 조직들에서는 세포의 분화가 완전히 이루어지지 않아 과피와 과육조직을 형태적으로 구분하는 것은 불가능하였다.
만개 후 20일에는 과실의 외곽에 위치하는 외표피와 아표피층의 세포들이 과육세포에 비해 납작하고 얇은 형태로 신장하는 것이 관찰되어 과피세포와 과육세포의 구분이 가능하였고, 만개 후 40일에는 과점이 형성되어 있는 것이 관찰되었다(Figs. 1B and 1C). 만개 후 70일에는 코르크층이 형성되는 것이 관찰되어(Fig. 1E), ‘한아름’의 경우 조생종임에도 불구하고 다른 중생종인 ‘화산’(Park et al., 2002)에 비해서 코르크층이 늦게 형성되는 것으로 조사되었다. 따라서 코르크층의 형성 시기는 조생종, 중생종, 만생종의 차이보다는 각 품종에 따른 특성으로 판단되어 코르크층 형성에 영향을 미치는 요인에 관한 연구가 필요할 것으로 사료되었다.
한편 아표피층을 이루는 세포 수는 과피세포와 과육세포의 구분이 가능한 만개 후 20일에 7.5층이었으며, 만개 후 40일까지 9.5층으로 증가한 후 성숙기까지 같은 수가 유지되었다(Table 1). 따라서 ‘한아름’의 세포분열 기간은 만개 후 40일까지인 것으로 관찰되어 동양배의 경우 조생종은 만개 후 약 25-30일에 세포분열이 이루어진다는 결과(Zhang et al., 2006)보다는 시기가 조금 길었으나, 세포분열 정지기는 해에 따라 다르므로(Kim, 1997) 현저한 차이는 없는 것으로 생각되었다. 과육세포의 횡경은 만개 20일 후의 11.3µm에서 성숙기의 45.2µm까지 계속적으로 증가하여(Table 1), ‘한아름’은 만개 후 40일까지는 세포분열과 세포비대에 의해 과실이 비대하고 이후에는 세포비대에 의해서만 과실비대가 진행되는 것으로 판단되었다.
만개 후 30일에 GA를 처리한 이후 ‘한아름’의 해부학적 과실 구조를 무처리구와 비교하여 관찰한 결과, 세포분열 정지기인 만개 후 40일과 만개 후 70일, 성숙기까지 아표피층을 구성하는 세포 수가 무처리구와 GA 처리구 모두 9.5층으로 동일한 것으로 나타나 GA 처리는 ‘한아름’의 세포 분열에는 영향을 미치지 못하는 것으로 조사되었다(Fig. 2 and Table 2). 반면에 과육세포의 횡경은 GA 처리 직후에는 큰 차이를 보이지 않았으나 만개 후 70일과 114일에는 각각 30.9µm와 59.0µm로 무처리의 23.9µm와 45.2µm에 비해 유의하게 큰 것으로 조사되었다. 이는 일본배 ‘Kousui’에서 외부에 GA를 처리할 시 세포 수의 증가가 아닌 중과피를 구성하는 세포의 비대로 인해 과실의 크기가 커진다는 연구와 같은 결과를 나타내었다(Zhang et al., 2005). 또한 GA 처리구에서 만개 후 60일에 코르크층이 관찰되어 만개 후 70일에 코르크층이 관찰된 무처리구에 비하여 코르크층 형성이 10일 정도 빠른 것으로 조사되었다(Figs. 2C and 2F). 이는 GA 처리구와 무처리구 모두 동일한 세포 수를 가지고 과실이 발달하지만 처리구에서 세포의 비대가 더 빨리 진행되기 때문인 것으로 생각되었다.
한편 GA 처리에 따른 과실 구조 관찰과 더불어 과경부의 형태적 변화를 함께 비교한 결과, 과경의 구조는 바깥쪽으로부터 표피층, 피층, 섬유조직, 체관부, 물관부가 관찰되었으며 유관속 조직은 원형의 모양으로 존재하였다(Fig. 3). GA 처리에 따른 과경의 두께는 통계적인 유의성은 인정되지 않았으나 만개 후 40일부터 성숙기까지 GA 처리구에서 큰 경향을 보였으며, 유관속 조직의 크기를 비교한 결과 만개 후 40일부터 GA 처리구에서 유관속 조직의 종경이 큰 것으로 조사되었고, 만개 후 70일에는 GA 처리구의 유관속 조직의 종경과 횡경이 모두 무처리에 비하여 큰 것으로 관찰되었다(Table 3). 이는 ‘황금배’, ‘영산배’, ‘추황배’에서 GA를 처리하였을 때 과실의 성숙이 진행됨에 따라 피층과 수 조직이 굵어져 도관부의 면적이 증가한다는 결과(Kim et al., 2002)와는 다른 결과를 나타내었다. 따라서 ‘한아름’의 경우 GA 처리 시 유관속 조직의 발달을 촉진하여 상대적으로 과실로의 양분 공급이 증가한 것으로 생각되었으며, 이로 인해 GA 처리구 과실의 비대가 촉진 되는 것으로 판단되었다.
‘한아름’의 GA 처리에 따른 생육기별 과실 품질
만개 후 30일에 과경부에 GA를 처리한 이후 생육기별 과실 발달을 비교한 결과(Table 4), 세포분열 정지기인 만개 후 40일에는 과중의 차이가 나타나지 않았으나 만개 후 50일부터 만개 후 80일까지 GA 처리구에서 과중이 더 크게 조사되어 기존에 연구된 ‘신고’의 경우 배 과실의 유과기에 GA를 처리할 경우 생육이 더 빨라진다는 결과(Choi et al., 2009)와 일치하였다. 과실 품질 변화는 만개 후 70일에 산 함량이 GA 처리구에서 더 빨리 낮아져 당산비가 높아졌으나, 이후의 생육시기에는 차이가 없는 것으로 관찰 되었으며 가용성 고형물 함량은 GA 처리에 따른 차이가 없는 것으로 조사되었다. 경도는 측정을 시작한 만개 후 90일부터 GA 처리구는 33.0N으로 무처리구에 비해 낮았으며 성숙기까지 경도 차이가 확실하게 나타나 ‘신고’에서 GA 처리구의 경도가 낮게 나타나는 결과(Choi et al., 2009)와 동일한 결과를 보여주었다. 따라서 농가에서 ‘한아름’ 품종에 GA를 처리하여 재배할 경우 과실의 크기가 커지고 품질에는 영향이 없으나 GA 처리에 의해 경도가 낮아 조직감이 물러져 저장할 시에 문제가 발생할 수 있을 것으로 판단되었다.





