서 언
재료 및 방법
식물재료 및 DNA 추출
ITS 및 MITE 분자표지 선발
PCR 및 전기영동
Cloning and sequencing
유연관계 분석
결과 및 고찰
Ribosomal DNA의 ITS 영역 염기서열 확인 및 유연관계 분석
MITE 분자표지를 활용한 갓 품종 다형성 확인
ITS 영역 서열과 MITE 분자표지의 활용
고찰
서 언
배추과(Brassicaceae) 식물은 338 속(genera), 약 3,709 종(species)으로 이루어져 있으며, 세계적으로 경제적 가치가 매우 높은 작 물에 속한다(Al-Shehbaz et al., 2006; Bailey et al., 2006). 그 중 갓(Brassica juncea)은 배추(Brassica rapa; 2n = 2x = 20, AA genome, 529Mb)와 흑겨자(Brassica nigra; 2n = 2x = 16, BB genome, 632Mb)의 복이배체(amphidiploid)로 2n = 4x = 36, 전체 유전체는 약 1,068Mb를 가지고 있는 식물이다(Johnston et al., 2005). 갓은 유전체 및 유전자에 대한 연구가 세계적으로 미비하기에 많은 연구 를 필요로 한다. 갓의 유연관계 및 유전적 다양성에 대한 분석은 거의 이루어지지 않았으며, ribosomal DNA의 ITS(Internal Transcribed Spacer) 영역, RAPD(Random Amplified Polymorphic DNA) 및 RFLP(Restriction Fragment Length Polymorphisms)를 이용한 소수의 연구만이 진행되었다(Fu et al., 2006; Qi et al., 2007; Song et al., 1990; Song et al., 1988). 갓의 유연관계 및 유전적 다양성에 대한 분석은 다양한 육종재료 확보 및 품종 판별에 활용할 수 있을 것이다.
분자표지는 목표형질과 가까이 연관되거나 목표형질을 결정하는 유전자의 DNA염기서열 변이에 기초해서 개발되기 때문 에 환경영향을 받지 않으므로 시간과 장소의 구애를 받지 않고 기존의 육종방법보다 빠르고, 정확한 정보를 얻을 수 있다(Kim et al., 2015; Kim et al., 2014). 분자표지는 유전적 다양성 연구, 종 및 품종 판별, 유전자 지도 작성 및 주요 형질 선발 등 넓은 분 야에서 이용하고 있다. 최근에는 다양한 분자표지가 개발되고 있는데, SSR(Simple Sequence Repeat), SNP(Single Nucleotide Polymorphism), InDel(Insertion and Deletion) 등의 분자표지가 범용으로 활용되고 있다. 특히, InDel 표지는 아가로스 겔에서 쉽게 구분할 수 있으며 재현성이 매우 높아 많은 연구자들이 선호하는 표지이다.
종 및 품종에서 유연관계를 알아보기 위해 주로 ITS 영역 염기서열의 다형성을 많이 이용한다. 최근에 약용식물의 유연관계 를 확인하기 위해 7점의 후보 DNA 바코드에 대해 연구하였다(Chen et al., 2010). Chen et al.(2010)은 7점의 DNA 바코드 (psbAtrnH, matK, rbcL, rpoC1, ycf5, ITS1 및 ITS2) 중에 ITS2 영역에서 753속, 4800종, 약 6600개체에서 확인하였고, 92.7%의 성공적인 동 정률을 나타냈다. ITS2 영역은 약용식물들과 밀접하게 관련된 종들의 동정을 위한 표준 DNA 바코드로서 이용 할 수 있음을 입 증하였다. Qi et al.(2007)은 중국 갓 16 품종에서 ITS 영역을 활용하여 분자 계통도를 분석하였다. ITS1과 ITS2 영역을 분리하여 확인한 결과 ITS1 영역에서는 흑겨자 서열과 유사한 4 품종, 배추 서열과 유사한 12 품종을 확인하였다. ITS2 영역에서는 흑겨 자 서열과 유사한 3 품종, 배추 서열과 유사한 13 품종을 확인하였다. ITS 영역으로 확인한 결과 갓은 흑겨자보다 배추에 더 근 접한 품종이 많이 나타났다. 이러한 결론은 엽록체 DNA, 미토콘드리아 DNA, RFLP의 결과 갓이 흑겨자보다 배추 염기서열과 유사하다는 것과 일치한다(Palmer and Herbon, 1988; Song et al., 1990; Warwick and Black, 1991; Yang et al., 2002).
MITE (miniature inverted-repeat transposable element)는 동물, 식물, 박테리아 등에 아주 빈번하게 존재하며, 크기는 800bp보다 작다(Casacuberta et al., 2003; Turcotte et al., 2001). 또한, 비 독립형 엘리먼트(non-autonomous elements)의 말단 역 반복(Terminal Inverted Repeats: TIR)으로 sequence 길이의 범위가 10-15bp의 차이를 나타내는 경우도 있다(Zhang et al., 2000). MITE는 유전자 부위(intron, exon, and UTR; untranslated regions, promoters)와 매우 근접하게 조합되어 있기 때문에 유전자의 구조, 발현, 기능을 변형할 수 있다. 배추에서 MITE는 triplicated 유전자의 구조적 변형 또는 발현양의 변화를 가져오 기도 한다(Sampath et al., 2013; Yang et al., 2006). MITE는 안정적으로 유전되고, 많은 copy로 존재하기 때문에 유전체학과 진화 연구를 위한 DNA 분자표지로 매우 적합하다(Amundsen et al., 2011). 실제로 MITE는 벼 9.98%, Medicago 8.21%, 수박 5.53%, 배추 4.05%, 토마토 3.44%, 옥수수 1.96%, 애기장대(Arabidopsis thaliana) 0.71% 이상으로 식물 유전체에 주요 부분 을 차지하고 있다(Chen et al., 2014). Chen et al.(2014)은 in silico tools를 활용하여 배추에서 174 MITE families를 공개하였 다. 총 45,821 MITEs를 확인하였고, 이는 배추 유전체의 11Mb (4.08%)를 차지한다. 또한, Sampath et al.(2014)은 배추, 양배 추 그리고 애기장대의 MITE를 비교 분석하여 20 families로 구분하였다. 20 families는 4 BraSto (Stowaway families as Brassica Stowaway), 13 BraTo (Tourist families as Brassica Tourist), 2 BraHAT (hAT families as Brassica hAT), 1 BraMu (Mutator family as Brassica Mutator)로 구분하였다. 총 290점의 분자표지로 163점의 배추관련, 127점의 양배추관련 분자표지를 개발하였다
본 연구에서는 갓 15 품종의 ribosomal DNA ITS 영역 염기서열을 확인하여 유연관계를 확인하였으며, 기존에 발표된 MITE 분자표지로 갓의 품종판별 활용가능성을 알아보았다(Sampath et al., 2014; White et al., 1990). MITE 분자표지는 쉽고 유용하게 판별 할 수 있는 InDel 표지 위주로 선발하였으며, 선발한 MITE를 활용하여 다양한 유전자원에서 구분할 수 있는지 검증하였다.
재료 및 방법
식물재료 및 DNA 추출
갓 재료는 시중에서 판매하는 품종과 국내 갓 생산지역 및 일본에서 수집하였다. 갓 15 품종은 얼청갓(Eolcheonggat), 남도갓(Namdoogat), 청갓(Cunggat), 남양갓(Namyanggat), 동강갓(Dongganggat), 동원적갓(Dongwonredgat), 청송갓 (Cheongsonggat), 봉래갓(Bongraegat), 흑갓(Heukgat; Accession number, IT200214), J23, 농우적갓(Nongwooredgat), 팔강 갓(Palgangat), J15, J16, J17로 관련 분자표지를 확인하였다(Fig. 1). J23, J15, J16, J17은 일본에서 수집한 품종이다. 또한, 여 수시 농업기술센터에서 갓 유전자원 47점을 분양 받아 분자표지의 다형성을 확인하였다. 재배는 순천대학교 생명산업과학대 학 원예학과 비닐하우스에서 재배하였고, DNA 추출은 발아 후 4주 된 유엽을 사용하였다. 각 식물 시료는 TissueLyser(QIAGEN, Netherlands)를 이용하여 분쇄하였으며, DNA는 DNeasy Plant Mini Kit(QIAGEN, Cat. No. 69104)을 사용하여 추출하였다.
ITS 및 MITE 분자표지 선발
갓의 유연관계를 알아보기 위해 이전에 보고된 ribosomal DNA의 ITS 관련 분자표지를 이용하였다. PCR 증폭으로 확인하 기 위해 이용한 분자표지는 BJ_ITS-F: 5’-TCCGTAGGTGAACCTGCGG-3’와 BJ_ITS-R: 5’-TCCTCCGCTTATTGAT ATGC-3’이다(Qi et al., 2007; White et al., 1990). 갓의 품종구분을 위한 MITE 분자표지는 Sampath et al.(2014)에 의해 보고 된 290점의 분자표지 중 배추와 양배추 각각 다형성을 많이 보이는 80점을 선발하여 총 160점의 분자표지를 이용하였다 (Supplementary Table 1).
PCR 및 전기영동
PCR 반응 방법으로 DNA는 100ng을 사용하였고, primer는 10pmol로 희석하여 사용하였다. Taq 중합효소 및 PCR buffer 는 ㈜제넷바이오 premix(Cat. No. G2002)를 사용하여 PCR을 진행하였다. PCR 증폭 조건으로는 94℃에 3분 반응 후, 94℃에 서 30초, 55-62℃에서 30초, 72℃에서 30초 동안 반응하여 34번 반복하였고, 마지막으로 72℃에서 7분간 반응하였다. PCR 산 물의 확인을 위해 1.2% 아가로스 겔에 blue mango 0.5μgㆍmL-1을 첨가하여 UV상에서 확인하였다.
Cloning and sequencing
Cloning을 위한 PCR분석 시약은 Takara Ex Taq™(Takara, Japan)을 사용하였다. 조성은 10 X buffer 2.5μL, dNTP mixture 0.5μL, Takara Ex Taq™ 0.2μL, forward primer(10pmol) 0.3μL, reverse primer(10pmol) 0.3μL, water 15.2μL, gDNA 1μL(100ng)를 넣어 총 20μL로 하였다. PCR 조건은 94℃에서 5분 처리 후 94℃에서 30초, 58℃에서 30초, 72℃에서 45초 동 안 반응하여 34번 반복하였고, 마지막으로 72℃에서 7분간 반응하였다. 유전자의 증폭산물 정제는 The Wizard® Genomic DNA Purification Kit(Promega, Germany) 프로토콜에 따라 수행하였다. 정제 후, TOPcloner™ Blunt Kit(Enzynomics, Korea)를 사용하여 ligation 하였다. TOPO 벡터에 삽입된 것을 확인한 클론은 carbenicillin이 포함된 액체 LB배지에 14시간 정도 배양한 후, QIAprep® Spin Miniprep Kit(QIAGEN, Germany)를 이용하여 플라스미드 DNA를 추출하였다. 염기서열 분 석은 forward는 M13F, reverse는 M13-pUC를 사용하여 (주) 마크로젠(Korea)에 의뢰하여 확인하였다.
유연관계 분석
갓 15 품종의 유연관계를 알아보기 위해 rDNA의 ITS1, ITS2, 5.8S 영역의 염기서열로 phylogenic tree를 작성하였다. 분석 은 ClustalW 및 MEGA 6 프로그램을 이용하여 neighbor-joining(NJ), bootstrap 1,000으로 확인하였다(Tamura et al., 2013). 갓은 배추(JN564039.1)와 흑겨자(AF128102.1)의 복이배체 작물로 ribosomal DNA의 ITS 서열이 두 가지 타입으로 나타나기 때문에 이를 이용하여 갓 15 품종의 전반적인 phylogenic tree를 작성하여 유연관계를 확인하였다(Qi et al., 2007). 또한, 같은 방법으로 다양한 갓 유전자원을 MITE 분자표지로 확인하여 유연분석을 하였다.
결과 및 고찰
Ribosomal DNA의 ITS 영역 염기서열 확인 및 유연관계 분석
식물의 ribosomal DNA에서 ITS 다형성을 이용하여 유연관계를 알아보는 연구는 빈번하게 수행되고 있다(Downie et al., 1996; Koch et al., 2003; Yang et al., 1996; Yuan et al., 1996). Ribosomal DNA의 ITS는 ITS1과 ITS2로 나누어진다. 기존에 알려져 있는 분자표지를 활용하여 15 품종에서 ITS 영역의 차이를 확인하였다(Qi et al., 2007; White et al., 1990). 분자표지는 BJ_ITS-F/R로 PCR 확인 후 cloning과 sequencing을 수행하였다. 확인된 염기서열은 흑겨자의 ITS 서열(AF128102.1)과 배 추의 ITS 서열(JN564039.1)를 비교하여 전반적인 유연관계를 알아보았다(Fig. 2A). 갓(AABB genome)은 복이배체이기 때문 에 흑겨자(BB genome)와 배추(AA genome) 두 서열을 함께 확인하였다(Qi et al., 2007). 관련 서열의 주석(annotation)은 흑겨 자의 NCBI Accession No. AF128102.1을 가지고 작성하였다. 전체 길이는 696bp와 710bp로 두 가지 타입으로 확인되었다 (Fig. 2A). 696bp 관련 서열의 주석은 1-31bp(18S), 32-288bp(ITS1), 289-452bp(5.8S), 453-639bp(ITS2), 640-696bp(25S) 로 서열이 구분되었다. 710bp 관련 서열의 주석은 1-31bp(18S), 32-302bp(ITS1), 303-466bp(5.8S), 467-653bp(ITS2), 654-710bp(25S)로 서열이 구분되었다. 그 결과 배추의 ITS 서열과 유사한 10 품종과 흑겨자의 ITS 서열과 유사한 5 품종을 구 분하였다. 전체 서열 중 ITS1과 ITS2에서 염기서열 차이를 보였으며, 5.8S에서는 모두 같은 염기서열을 가지고 있는 것으로 나 타났다. 이는 흑겨자와 배추의 5.8S의 염기서열이 같기 때문이다. ITS 영역의 염기서열 차이는 ITS2 영역보다는 ITS1 영역에 서 많은 차이를 볼 수 있었고, 흑겨자보다 배추IT S 영역과 유사한 품종이 많았다(Fig. 2A).
Ribosomal DNA에서 ITS 영역의 염기서열 차이를 이용하여 갓 15 품종의 유연관계를 알아보았다. 팔강갓, 청송갓, 동강갓, 동원적갓, 남양갓과 일본 수집 품종인 J15, J16, J23이 배추 ITS와 유사한 그룹으로 나타났고, 얼청갓, 청갓, 봉래갓이 흑겨자와 같은 그룹으로 나타났다(Fig. 2B). 유연관계 분석으로 15 품종 중 배추의 ITS 서열과 유사한 10 품종 중 흑갓은 유연관계가 멀 다는 것을 확인 하였는데 이는 흑갓이 다른 갓에 비해 잎 면적이 적고, 생육과정에서 줄기부위의 발달이 우월하며, 꽃이 일찍 개 화하는 등의 표현형이 매우 다르다는 것과 일치하게 나타났다(Fig. 1). 흑겨자의 ITS 서열에서 유사한 5 품종 중 남도갓과 농우 적갓이 얼청갓, 청갓, 봉래갓과 그룹핑되지 않는 것으로 확인되어 다른 유연관계를 나타내는 것을 확인할 수 있었(F다ig. 2B).
현재 전 세계적으로 갓에 대한 연구가 미비하기 때문에 ITS 영역 관련 분자표지는 배추과 식물의 유전적 진화에 관한 연구, 갓의 유용 유전자 탐색 및 국내 갓 품종 판별에 많은 도움을 줄 것이다. 또한, 갓의 유연관계 및 유전적 다형성에 대한 분석으로 유전적 범위에 대한 정보와 계통 발생, 작물의 기원지 분석, 다양한 육종 재료 확보 측면에서 다각적으로 활용할 수 있을 것이 다. 특히, Schoch et al.(2012)의 연구에 의하면 곰팡이에서 ribosomal DNA ITS 영역으로 종간 또는 종내에서 변이를 이용한 DNA 바코드 표지를 개발하였다. 이는 신속한 유해 병원균 진단 및 곰팡이의 신속한 동정이 가능하다. 이렇듯, 식물에서도 종 간 또는 종내의 판별을 위한 식물D NA 바코드 표지 개발을 기대할 수 있다.
MITE 분자표지를 활용한 갓 품종 다형성 확인
갓의 유연관계와 더불어 갓의 품종구분을 위해 MITE 분자표지를 선발하였다. 분자표지는 Sampath et al.(2014)에서 다형성 이 높은 배추와 양배추 관련 각각 80점의 분자표지를 확인하였다(Supplementary Table 1). 구체적으로 BraSto 분자표지는 총 70점으로 배추에서 27점, 양배추에서 43점, BraTo 분자표지는 총 79점으로 배추에서 49점, 양배추에서 30점, BraHAT 분자표 지는 총 6점으로 배추에서 3점, 양배추에서 3점, BraMu 분자표지는 총 5점으로 배추에서 1점, 양배추에서 4점을 확인하였다. 총 160점의 MITE 분자표지 중 확실히 다형성을 보이는 분자표지만 선발하였다(Fig. 3).
160점의 MITE 분자표지에서 32점이 뚜렷한 차이를 보였다(Fig. 3). 배추 관련 24점과 양배추 관련 8점이 품종구분에 활용 할 수 있을 것이다(Table 1). 배추 MITE 관련 다형성을 보이는 분자표지는 80점 중 24점으로 34%로 나타났으며, 양배추 MITE 관련 다형성을 보이는 분자표지는 80점 중 8점으로 10%로 나타났다. 갓은 흑겨자와 배추의 복이배체 작물이기 때문에 양배추 의 MITE 보다는 배추의 MITE에서 많은 표지를 선발할 수 있었다. 아가로스 겔에서 다형성을 보이는 MITE 표지는 전반적으 로 흑갓(Fig. 1I)이 많은 차이를 보였으며, 이는 ITS 영역의 서열을 이용한 유연관계와 유사한 결과를 도출할 수 있었다. 선발한 32점의 MITE 다형성 분자표지는 갓 품종 구분 및 신품종을 확인할 수 있는 분자수준의 과학적 방법에 유용하게 사용될 것이다.
Table 1. Classification of MITE markers based on their families.
| |
Parentheses indicate number of clearly polymorphic markers. | |
ITS 영역 서열과 MITE 분자표지의 활용
갓에서 ITS 영역을 활용한 품종 특이적 분자표지의 개발은 어려웠으며, 향후 전반적인 rDNA 영역에 대한 연구를 진행해야 할 것이다. 각 품종에서 ITS 영역의 SNP는 확인할 수 있었으나 배추 관련 10 품종 및 흑겨자 관련 5 품종에서 쉽게 구분할 수 있는 InDel 표지는 확인할 수 없었다. 복이배체 작물인 갓의 ITS 연구는 분자적 측면에서의 진화와 품종 구분으로 활용할 수는 있지만 품종 판별용으로는 쉽게 활용할 수 없을 것이다. 복이배체 작물의 rDNA 염기서열 차이에 대한 정보는 새로운 분석시 스템의 개발이 이루어질 것이라 예상한다
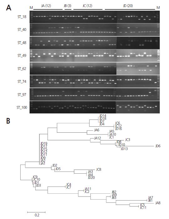
MITE에 관한 연구는 현재 다양한 작물에서 이루어 지고 있다(Han et al., 2010; Mo et al., 2012; Shirasawa et al., 2012). MITE 표지는 아가로스 겔에서 쉽게 구분이 가능하기 때문에 일반 연구자가 쉽게 정보를 얻을 수 있다. 특히, MITE는 유전자 와 매우 근접하게 조합되어 있기 때문에 유전형질의 차이도 확인 할 수 있다. 32점의 MITE 중 8점의 분자표지(ST_18, ST_40, ST_48, ST_49, ST_62, ST_74, ST_97, ST_100)로 여수시 농업기술센터에서 분양 받은 47점의 유전자원에서 다형성을 확인하 였다(Fig. 4). 유연관계를 확인한 결과 JA1, JA2, JD9, JD11, JD12, JD15, JD17, JD19와 JD4, JD7, JD14, JD18는 매우 근접하 게 그룹되었다. JB의 3점의 유전자원은 모두 유사한 근연관계에 있을 것이라 예상할 수 있었다(Fig. 4B). 선발한 32점의 MITE 다형성 분자표지는 갓의 품종구분, 품종보호 및 신품종 개발에 유용하게 활용할 수 있을 것이며, 유전체 및 유전자 연구에 많은 도움을 줄 것이라 기대한다.





.jpg)
.jpg)

